Image Segmentation

Image Segmentation

How do we identify important objects and other content in an image? Depends on what is "important"! We can train a segmenter to understand this, and separate important from non-important parts. While image segmentation is hugely popular and quite successful, there is still room for improvement. Here we are interested in using ensembles of segmenters to achieve better results than using individual segmenters.
Start here: https://en.wikipedia.org/wiki/Image_segmentation



Medical Image Segmentation
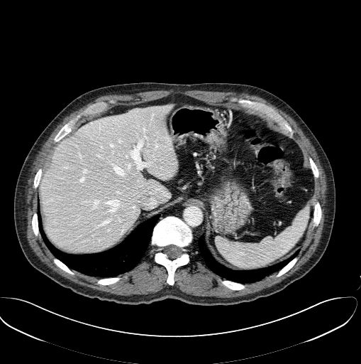
In March 2019 we started a collaboration with Mr Ali Emre Kavur (), a PhD student from Dokuz Eylul University in Izmir, Turkey, and his group. The purpose is to improve on the state-of-the-art in segmenting abdominal organs from CT and MRI images. Our hypothesis is that ensemble methods (combination of segmenters) will lead us to this improvement.
We discovered that an ensemble of "vanilla-style" deep learning segmentors offers an excellent solution to the problem if liver segmentation from 3D CT images.



Kavur, A. E., L. I. Kuncheva and M. A. Selver, Basic ensembles of vanilla-style deep learning models improve liver segmentation from CT images, arXiv:2001.09647 [eess.IV], 2020.




Bird Image Segmentation
As a bonus, Emre programmed a semantic segmenter in Python and MATLAB. The code and a detailed user's guide can be found here. (https://github.com/emrekavur/semantic-segmenter-tool)